Wichtiger Sauerstoffproduzent
Klimakrise: Wohl häufigstem Organismus droht Extrem-Schwund
Es ist eines der kleinsten Geschöpfe der Erde, hat aber enormen Einfluss auf das Leben auf unserem Planeten. Forscher haben ungute Nachrichten zum Befinden des Miniwesens.
© Francois Ribalet/dpa
Verteilung der Phytoplankton-Biomasse, gemessen mit SeaFlow-Zytometrie vor der Küste Kaliforniens. Die farbcodierten Linien stellen die Biomassekonzentrationen dar, wobei wärmere Farben (rot-gelb) eine höhere Phytoplanktondichte und kühlere Farben (blau) eine geringere Konzentration anzeigen.
Von dpa
Seattle - Er ist ein extrem wichtiger Sauerstoffproduzent und sowohl der kleinste als auch der am häufigsten vorkommende photosynthetische Organismus der Erde. Namentlich bekannt dürfte Prochlorococcus dennoch kaum jemandem sein. Forschende haben nun herausgefunden, dass das Cyanobakterium empfindlicher auf hohe Temperaturen reagiert als bisher gedacht.
Der im Fachjournal "Nature Microbiology" vorgestellten Studie zufolge könnte die Prochlorococcus-Menge in tropischen Ozeanen in den kommenden Jahrzehnten immens schrumpfen. Bis zur Hälfte des Bestands könnte demnach unter moderaten und hohen Erwärmungsszenarien bis zum Jahr 2100 in tropischen Ozeanen verschwinden. Der Rückgang könnte Kettenreaktionen in den marinen Nahrungsnetzen auslösen, befürchten die Forschenden.
Prochlorococcus ist Experten zufolge wahrscheinlich der zahlenmäßig häufigste Organismus auf der Erde. Das Cyanobakterium lebt in den obersten Wasserschichten der Ozeane. Sehen kann man es mit bloßem Auge nicht, denn die Zellen haben nur einen Durchmesser von etwa 0,5 bis 1 Mikrometer, was etwa einem Hundertstel des Durchmessers eines menschlichen Haares entspricht. In einem Wassertropfen können hunderttausende Zellen vorkommen.
Ein Fünftel des neu entstehenden Sauerstoffs
Die ökologische Bedeutung von Prochlorococcus ist enorm: Die Organismen produzieren schätzungsweise ein Fünftel des neu entstehenden Sauerstoffs in der Erdatmosphäre, wie das Team um François Ribalet von der University of Washington in Seattle erläutert. Sie besiedelten über 75 Prozent der sonnenbeschienenen Meeresoberflächen der Welt und machten in den nährstoffarmen tropischen und subtropischen Gewässern fast die Hälfte der Phytoplanktonbiomasse aus. Damit sei Prochlorococcus auch ein wichtiger Startorganismus für die Nahrungsketten der Meere.
Auf Basis von Laborexperimenten gingen Wissenschaftler bisher davon aus, dass Prochlorococcus auch bei höheren Temperaturen starkes Wachstum zeigt. Erwartet werde, dass sich das Verbreitungsgebiet im Zuge des Klimawandels in Richtung der Pole ausdehnt und dass das Cyanobakterium unter den für stärker geschichtete Ozeane prognostizierten nährstoffarmen Bedingungen häufiger wird, wie es in der Studie heißt.
Ab 28 Grad sinkt die Vermehrungsfreude
Messungen bei 90 Schiffstouren in tropischen und subtropischen Meeresgebieten zwischen 2010 und 2023 in Wassertiefen von drei bis acht Metern zeigten nun allerdings auch, dass die Teilungsrate von Prochlorococcus-Zellen nur bis zu einer Wassertemperatur von etwa 28 Grad steigt. Anschließend fällt sie steil ab und erreicht bei 31 Grad einen Wert, wie er weit entfernt von optimalen Bedingungen für Prochlorococcus typisch ist.
"Die regionalen Oberflächenwassertemperaturen könnten bis zum Ende des Jahrhunderts sowohl bei moderaten als auch bei hohen Erwärmungsszenarien diesen Bereich überschreiten", heißt es in der Studie. Nach dem Konzentrationspfad RCP8.5 mit weiterhin hohen Treibhausgasemissionen könnte sich die durchschnittliche Meerestemperatur um 3,8 Grad erhöhen. In vielen Meeresregionen könnte es dann Wassertemperaturen von rund 30 Grad geben.
Hält der Winzling mit dem Klimawandel Schritt?
Wird sich Prochlorococcus anpassen können? Frühere Studien zeigten dem Forschungsteam zufolge eine große genetische Vielfalt unter den verschiedenen Stämmen. Doch das Cyanobakterium hat auch nur ein kleines Genom. "Prochlorococcus durchlief eine Genomstraffung und verlor viele Stressreaktionsgene, um den Ressourcenbedarf zu minimieren und gleichzeitig die Leistung innerhalb eines engeren Umweltbereichs zu optimieren", heißt es in der Studie. Das gestraffte Genom könnte die Fähigkeit einschränken, sich an die rasche Erwärmung anzupassen.
Von der klimatischen Entwicklung profitieren könnte dem Team um Ribalet zufolge das ebenfalls winzige Cyanobakterium Synechococcus. Computermodellen zufolge könnte es die ökologische Lücke, die Prochlorococcus bei höheren Wassertemperaturen zu hinterlassen droht, zumindest teilweise füllen.
Proben nur aus obersten Schichten entnommen
Einschränkend geben die Forschenden zu ihren Ergebnissen zu bedenken, dass bisher nur recht wenige Messungen in räumlich beschränkten Meeresgebieten vorgenommen wurden. Auch ließen sich bisher seltener vorkommende hitzetolerante Varianten mit der Methode nicht hinreichend erfassen.
"Eine wesentliche Schwäche der Studie ist die auf die obersten Schichten beschränkte Probennahme", sagte Bernhard Fuchs vom Max-Planck-Institut für marine Mikrobiologie in Bremen dem Science Media Center. Denn dadurch bleibe außen vor, was in tieferen Schichten geschehe - ob beispielsweise nach einer Hitzewelle und dem Absterben eines großen Teils der Prochlorococcus-Populationen eine Wiederbesiedlung aus tieferen, kühleren Schichten möglich wäre. Auch die Messmethode ist aus Sicht von Fuchs nicht mehr zeitgemäß.
© Natalie Kellogg/dpa
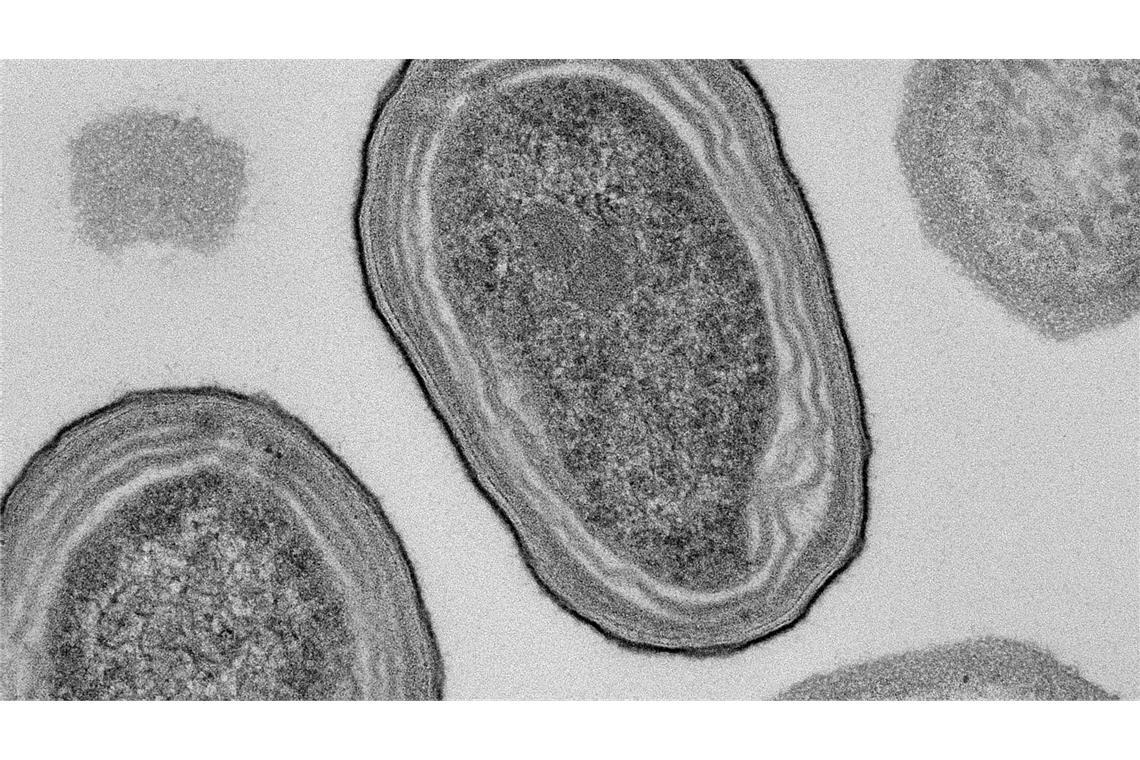
Elektronenmikroskopische Aufnahme von Prochlorococcus-Zellen.
